会员资源切换至【手机版】
找回密码
立即注册

微信登录

只需一步,快速开始

QQ登录

只需一步,快速开始


切换本帖至【手机版】


作者: admin
查看: 649|回复: 0

主题标签Tag

搜索
开启左侧

[美文] 一个无神论者的灵修指南

[复制链接]
admin 发表于 2018-6-19 15:52:14 | 显示全部楼层 |阅读模式
查看: 649|回复: 0
利维坦按:当有人断言,“


并不存在‘自我感知’这回事情


”的时候,我们该如何理解这句话呢?或许我们从来没有直接地去体验外在世界,对于其间正在发生着的情况,往往是经由了我们的头脑的最佳推测。正是由于这种进化的适应性,我们带有预见性的大脑能够让我们免于被蛇咬,被汽车碾压的状况发生。 作为一位无神论者,本文作者试图通过多年的静修冥想来破除自我的虚妄。对于一个3磅重的脑灰质如何产生第一人称的现实,神经学家和量子物理学家仍在争论不休,而对于意识是否能独立于自我存在而存在,作者显然有他独到的体验想要分享给我们。 文/Sam Harris 译/斩光 校对/乔琦 原文/nautil.us/issue/16/nothingness/an-atheists-guide-to-spirituality 本文基于创作共同协议(BY-NC),由斩光在利维坦发布 1529382014668da04c60d44 图源:phys.org 一次,我在加利利海(太巴列湖)的西北岸度过了一个下午。相传,耶稣曾在岸边的山上进行了他最为有名的一次布道。那天热似地狱,我坐在那片圣地上,周围挤满了来自各大洲的朝圣者。有些人安静地聚集在阴凉地,有些人则在阳光下走来走去,换着角度拍照片。 当我注视着环绕的群山时,平和的感觉油然而生。它迅即生发为充满喜乐的宁静,盖过了我所有的思绪。在那一瞬间,独立个体的感觉,或者说“我”、“自我”,完全消失了。万物一如往常,天空无云、褐色的山延伸入湖、朝圣者攥着瓶装水,毫无改变,但我不再感觉到自己与此情此景的疏离了,不再躲在眼睛后边窥视着世界。


只有世界,没有我。


这种体验只维持了几秒钟,但当我继续看向这片土地,看向这片传闻耶稣行走过的、在其上召集过使徒的、展示了诸多神迹的土地时,这种体验又闪烁了许多次。若我是名基督徒,那我无疑将用基督教的经义解读这种体验。我或许会相信,我瞥到了神的独一,接受了圣灵的触摸。若我是名印度教教徒,那我会用婆罗门的思维来想,我是不是进入了永恒的大我,整个世界和所有个体心灵只不过是大我的种种幻化。若我是名佛教徒,我或许要谈到“空性法身”,所有的事物不过是大梦一场。 1529382014855e893bfbcc6 图源:Havyn Spa


但我并没有这些信仰,我尽自己的最大努力活成一个理性的人类。因此,我很难从这类体验中得出什么形而上的结论。


而且,这种体验对我来说每天都会发生,无论是在瞻仰圣迹、坐在书桌旁,还是刷牙的时候。


我将其称之为意识的内在无我性(the intrinsic selflessness of consciousness)。这种日常体验可绝非偶然。


我花了好多年练习冥想,目标是破掉自我的虚妄。


事实上,司空见惯的自我感知的确是一种幻觉,而灵性修炼就在于时时刻刻认识到这一点。


这条断言确有其科学和逻辑的原因,但要认识到它的正确性,却不是通过理解这些原因来实现的。自我感知就像许多幻觉一样,一旦凑近了仔细检查就消失。通过练习冥想,我们就能让自我感知消失。


心理学家和神经科学家发现人类心灵倾向于走神,陷入一种叫做“无刺激思索”(stimulus-independent thought)的状态。


一项研究发现,当问及被试是否走神时,也即,是否在思索与当下无关的事,


被试报告他们有46.9%的时间在走神。


自我报告的研究方法固然不怎么可信,但这项研究还发现,


人们走神的时候都更不高兴——即便他们走神的内容是令人高兴的。


作者得出结论,“人类的心灵是走神的心灵,走神的心灵是不高兴的心灵。”任何静修(silent retreat)过的人都同意这一点。 (www.ncbi.nlm.nih.gov/pmc/articles/PMC1821121/) 走神的心灵与大脑中线区域的活动有关,特别是内侧前额叶皮层和内侧顶叶皮层。


这些区域通常被叫做“默认模式”或“静息模式”回路,因为我们在无所事事、等待事件发生的时候这些区域最活跃。


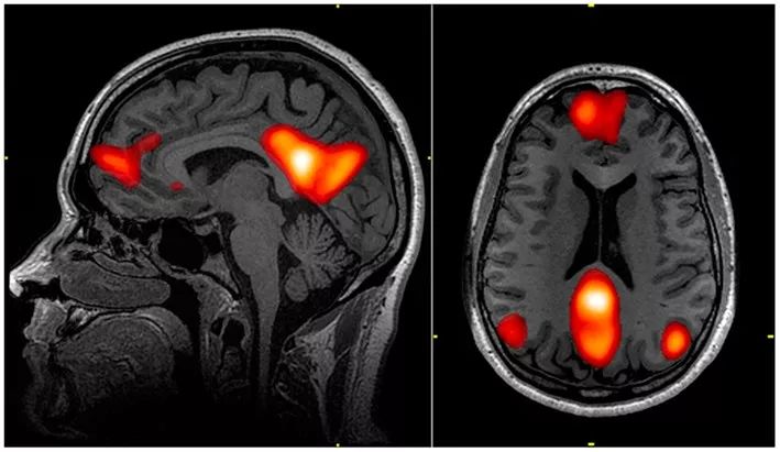
在大多数神经影像实验中,每当被试开始集中注意力到某种任务上时,默认模式网络(default-mode network ,DMN)的活跃程度就开始下降。 1529382014024e774368427 功能性磁共振显示下的默认模式网络。图源:wikipedia DMN还与我们进行“自我表征”的能力有关。例如,如果某人相信自己个子高,那么“高”这个词在DMN区域激起的信号就比“矮”这个词更强烈。


类似的,当我们对自己做判断,而非对别人做同样判断时,DMN区域也更活跃。


还有,当我们用第一人称视角而非第三人称视角来评估某场景时,DMN区域更加活跃。
许多科学家和哲学家都认为,意识至少要与五种感官之一紧紧相连。我很肯定,是他们错了。
大体上来讲,向外集中注意力会减弱大脑中线区域的活动,而思索自身则会增强该区域的活动。这些结果相互印证,可能解释了我们“忘我投入工作”的共同体验。


正念冥想(mindfulness meditation)和慈心禅(loving-kindness meditation)也能减弱DMN区域的活动,这种效应在经验丰富的冥想者身上体现得尤为明显,而且无论是冥想还是休息时都有效果。


尽管从这些发现得出强结论还为时尚早,但它们的确暗示了“走神体验”和“自我感知”可能有某种脑回路上的关联,毕竟冥想能通过某种可能的共同机制来削弱两者。 1529382014452a54a6587b0 该图显示了默认模式神经网络(黄色区域)之间按照颜色编码的区域连通性。图源:wikipedia


长期的冥想练习会导致大脑的许多结构性改变。冥想者的胼胝体和两个半脑的海马体都会增大。冥想练习还能增厚大脑灰质、增多皮层沟回。


上述某些差异在年老的修行者身上尤为显著,这暗示冥想或许可以预防因年龄增长而导致的皮层变薄。 (www.ncbi.nlm.nih.gov/pmc/articles/PMC4712309/) 人们早已知道,压力会改变脑结构,幼年时期的压力尤甚。例如,在动物和人类身上的研究表明,年幼时遭受的压力会增大杏仁核的大小。一项研究发现,


为期8周的正念冥想可以减小右基底外侧杏仁核的体积,与此同时,被试也主观报告自身压力减小。


另一项研究发现,与老练的冥想者一起练习一整天的正念,会降低导致全身炎症反应的基因表达量,而且能使被试更好地面对社会压力——被试要站在一群观众面前当众发表简短的演讲,然后再当众做心算题,旁边还有一台摄像机记录着这一切,真是压力山大。


连续5周,每天仅仅练习5分钟,就能增强左侧前额叶皮层的基准活动水平,而这一水平的提高说明被试心态更加积极向上了。


(link.springer.com/article/10.1007/s11682-007-9015-y) (www.ncbi.nlm.nih.gov/pmc/articles/PMC2840837/) 一篇心理学综述文献总结了正念对于身体和心理的多项益处:


它会改善免疫功能、血压水平和皮质醇水平;减少焦虑、抑郁、神经质和冲动。它能让人的行为更有条理,有望帮助人们戒除上瘾和改善饮食障碍。


不出意料,练习正念还能增进被试主观上的幸福感。练习慈心禅则能增进同情心,这从被试判断他人情绪的精准程度,以及对受难者表现出的积极影响可以看出来。练习正念也有类似的亲社会效应。 (www.ncbi.nlm.nih.gov/pmc/articles/PMC3679190/) (www.tandfonline.com/doi/full/10.1080/15298868.2016.1269667) 15293820137939f234ce088 插画:Dadu Shin 从我亲身体验看来,这些都在意料之中。


毕竟,一者偏执于自我,一者对当下的生活心无挂碍、无偏无倚,可谓天差地别。


为了完成这一转变,就要打破我们无穷无尽的思虑和身心反应,它们让我们跟自己纠缠不休、跟他者也纠缠不休。毫无疑问,这种转变涉及很多截然不同的机制——注意力和行为的调节、身体意识的提升、负面情感的压制、对于体验的概念化重构、对于自我的视角转换等等,其中每种机制都自有其神经生理学上的改变。


宽泛地说,只要时不时练习片刻,冥想就能够防治多种日常痛苦。


如果我们没感觉到自己的生活有需要改善之处,那我们也不会想要去冥想,或是参加任何其他修行。


但这里恰好隐藏着精神生活的核心悖论——



因为正是这种不满足于现状、想要完善自己的心理状态,导致我们忽视意识在当下的内在自由。


灵性修行的终极目标是破掉自我的虚妄,并通过时时刻刻加强自我的束缚(勇猛精进)来寻求这种自由,仿佛这种自由是一种通过努力就能达到的未来理想状态。(译者注:这种修行也就如神秀所说:“身是菩提树,心如明镜台,时时勤拂拭,勿使惹尘埃。”但正如慧能所说:“菩提本无树,明镜亦非台,本来无一物,何处惹尘埃。”自我本是虚妄,通过加强自我来消除自我,是一个大大的悖论。) 传统上,这个悖论有两种解决方法。


一种是直接忽略它,尝试各种各样的冥想技术,希望突破能在不经意间到来。


有人似乎用这种途径成功了,但许多人都失败了。在修行期间或许好事连连:我们变得更幸福、更专注了。但这整个宏伟的计划却让人心生绝望。在漫长的征途中,圣人的话语开始变成空洞的诺言,我们绝望地等待着永不降临的超验体验,或者来过了,却只能维持短短片刻。


无论开悟的终极智慧是什么,它绝不会是转眼即逝的瞬时体验。


冥想的目标是发现一种我们心灵本质所固有的幸福体验。它必须能在日常的所见、所听、所感、所思所想的背景中起作用。


巅峰体验固然绝妙,但真正的自由必须发生在日常生活中。


(译者注:也许便是慧海所云:“饥来吃饭,困来即眠。”) 该悖论的另一种传统解决方案是:


完全认可它,


承认所有的努力都注定失败,因为“想要获取超验体验或其他神秘体验”正是我们想要治愈的疾病本身。没有办法,只有放弃。 这两条路看似截然对立,事实上自古以来大家也都是这么看的。


渐进式提升是上座部佛教(小乘佛教)的典型修炼方法,而其他途径则类似于印度传统修炼方法。


任何探索都会自然而然地将渐进主义作为起点,无论是灵性修行还是其他方面。这种目标导向的练习模式有着容易教学的优点,即便对于意识的本质没有任何基本概念,对于自我的虚妄毫无洞见,这也不影响初学者按部就班地练习。他们只需采用崭新的注意力、思考、行为模式,前进的路自然会在面前展开。
任何人若企图使用客观的科学术语来解释这种教导,都将立刻导致混乱。
相比之下,顿悟之路可就艰险得不近人情了。人们常称其为“非二元论的”(nondualistic),因为踏上这条路的人决不能尝试任何其他的冥想或修行手段。


意识本身就已经自由自在了,与自我毫无干连,所以,作为一个虚幻的自我,你无需做任何事来追求这一点。


从印度传统哲学中的不二论和佛教某些宗派教义中,可以找到这种观点。 1529382016907f4aa8b5347 班迪达尊者(中)。图源:Saraniya Dhamma Meditation Centre


开始朝渐进主义道路前进的修行者,常常假设超越自我的目标遥不可及,所以他们或许花了多年修炼,却正好忽视了他们渴望实现的自由。


当我在缅甸冥想大师班迪达尊者(Sayadaw U Pandita)座下学习时,清楚认识到了这条道路的缺点。我追随班迪达尊者隐修数次,每次长达一两个月。在隐修时,我们要执行上座部佛教的戒律清规:过午不食,每天最好只睡4个小时。以外观之,目标是每天能够进行18个小时的正式冥想。以内观之,要遵循觉音(Buddhaghosa)在5世纪著就的经典《清净道论》(Visuddhimagga),沿着上面写的不同开悟阶段前进,还要辅佐以班迪达尊者传奇般的老师马哈希尊者(Mahasi Sayadaw)为经典写下的详尽阐释。


这种修行的逻辑明显是目标导向的


:根据这种观点,


人们修炼正念,并不仅仅是因为在修炼正念时可以实现意识的内在自由,还因为通过正念可以达到一种名为“止”的体验,


该教派认为“止”能够彻底将自我的虚妄斩草除根,若修行到了更深的层次,别的精神苦恼也可一并戒除。他们认为,“止”是一种直接的洞察,能够看破种种表面现象,直达绝对的真实。 我花了数年时间,全神贯注地想实现“止”的目标,其中至少有一年花在了隐修中。尽管我获得了许多有趣的体验,但没有一条符合这条道路的要求。有时候,我的确会感受到所有的思绪都平息了,对身体的存在感知也消失了,只剩下一种清醒的平静充满喜乐地扩张着,与任何日常的感官通路都毫无牵扯,轻飘飘无依无靠。许多科学家和哲学家都认为,意识至少要与五种感官之一紧紧相连,也就是说,脱离了视觉、听觉、嗅觉、味觉、触觉的“纯粹意识”纯属范畴错误和胡思乱想。我很肯定,是他们错了。 但“止”的境界迟迟不能到达。在那时,从我的渐进主义视角来看,这简直是太令人沮丧了。虽然我在隐修时度过的时光堪称极乐,但似乎我只是得到了一种工具,它只能证明我尚未开悟。我的修行变成了一场耐心的等待,等待未来的回馈。 1529382018157b8be3b8a8a 彭加尊者,图源:luthar.com 当我遇到一名印度导师后,事情开始起变化了。他就是彭加尊者(H. W. L. Poonja ,1910—1997),他的弟子昵称他为“帕帕吉”。帕帕吉是拉玛那·马哈希(Ramana Maharshi ,1879—1950)的弟子,后者可能是印度20世纪最受尊崇的圣人。


拉玛那的觉悟颇不寻常,因为他既没有对灵性表现出任何明显兴趣,又从未接受过导师教诲。


他成长在南印度的一个中产婆罗门家庭,16岁的时候,自然而然地成为了灵性大师。 那天,他一个人坐在叔叔的书房里,突然,一阵对死亡的恐惧袭来,拉玛那顿时浑身瘫软。他躺倒在地板上,相信自己马上就要死去了,但此时他不再恐惧,反而决定趁“自我”尚未消失之际探查一番它到底位于何处。他将精神集中到“我”的感觉上——随后他称这个过程为“自我追索”——然后发现自我却位于意识场之外。拉玛那那天并没有死,但他声称,独立自我的存在感从此再也没有玷污过他的意识之明镜。 一开始,他尝试装作以前那个普普通通的男孩,但实在是装不下去,于是拉玛那离开了家,前往一处古老的湿婆信徒的圣地,蒂鲁瓦纳马莱。他的余生就在这里度过,并声称自己与附近的阿如那查拉山有一种神秘的联系。 1529382015828d32f3140b0 图源:wonder.ph 在他觉悟之后的前几年里,拉玛那似乎失去了语言能力。据说,他过于沉浸于自己那嬗变的意识体验之中,以至于一连好几天静止不动。他的躯体越来越虚弱,还生了褥疮,好在个别当地人对他挺感兴趣,好心地照料他。10年沉寂之后,1906年,拉玛那开始宣示意识的本质。在他生命的最后一段时光,一波波学生如溪水般源源不断地来到他身边学习。他大概会说这样一类话:


心智是一束思绪。


思绪浮动,是因为有一个思想者。思想者就是自我。而自我,若你去寻找,那它将自动消失。


真实只不过就是自我的消失。


搜寻自我的本质会导致自我的毁灭。由于自我并不是一个实体,所以一旦搜寻,它就会自动消失,那么真实之光自然就会射出。
任何人若企图使用客观的科学术语来解释这种教导,都将立刻导致混乱。从认知心理学的角度来看,心智可不仅仅是“一束思绪”。从何种意义上,真实“只不过就是自我的消失”呢?这种真实里包不包括类星体和汉坦病毒呢?但这些吹毛求疵之举都会让人错失拉玛那教导的要点。 虽然不二论的哲学,或者拉玛那的话语,都让人倾向于作出某种形而上的解读,但


证实它们有效性的却不是形而上学,而是实践经验。


不二论可以归结为一些非常简单而可证实的断言:


意识是每种体验的先决条件;自我是意识之内的一种虚幻的表象;仔细审视你所谓的“自我”,那么身为独立自我的感受就会消失;而剩下的这种体验,就是意识场——自由,完整,内在纯净、未被意识里千变万化的内容玷污。


上述便是帕帕吉简单而真实的教导。事实上,他比自己的老师更坚持不二论。拉玛那尚且时而承认某些二元论的修炼方法有效,但帕帕吉却寸土不让。他的教导令人沉醉不已,尤其是对我们这些练习了多年的冥想者。在帕帕吉的教导过程中,弟子们时常会爆发出阵阵哭泣和大笑,而这很显然都是出于狂喜。帕帕吉并没有刻意掩盖自己的光芒。我初次遇见他时,西方的修行者尚未发现他,但后来他们蜂拥而至,把帕帕吉在勒克瑙的这座小房子挤得水泄不通,变成了一处修行胜地。跟他的导师拉玛那一样,帕帕吉也宣称自己完全脱离了自我的幻象,而从各种表现来看,他的确做到了这一点。


就像拉玛那和任何一位印度大师一样,帕帕吉经常说一些极其不科学的话。然而,从整体上讲,他的教导与印度宗教毫无关联,也不包含任何有关宇宙本质的无根据断言。他只是从自身体验出发,讲了讲体验本身的本质。


帕帕吉对我的影响很深,这主要是因为那时我已经在渐进式修行的道路上艰苦行进多年,但心中却彷徨不安,帕帕吉帮助我修正了道路。另一位导师,祖古乌金仁波切(Tulku Urgyen Rinpoche)则对我有着持续长久的影响。 1529382018382cb9053d66a 祖古乌金仁波切(1920-1996)。图源:Levekunst 祖古乌金仁波切隐居在施拉普里山的南麓,从住处可以俯瞰加德满都谷地。


他花了20年时间进行正式的隐修,成果丰硕,尤其以阐释“大圆满”(Dzogchen)清晰明澈闻名。


在一种正式的启蒙教导中,导师要力图将超验体验直接传授给弟子。我在数位大圆满派大师那里接受过此种教导,也从其他教派接受过类似的教导,比如帕帕吉那里,但从来没人能像祖古乌金那样把意识的本质说得那般精确。在他人生的最后5年中,我数次专程前往尼泊尔跟随他学习。


修行大圆满法,要求修行者能够时时刻刻体验到意识的内在无我性,即时刻保持专注,不因其他思想分心。



这也就是说,对于大圆满冥想者而言,正念指的就是驱逐自我的幻象。


因此,大圆满法并不像其他教派那样教授某种冥想技巧,比如专心致志于自己的呼吸,一名真正的大圆满大师必须要洞察到弟子的修行基础之所在,在此基础之上,弟子能够臻至不受主观/客观二元论妨碍的意识状态。大圆满法门常说 “


把目标当作途径


” ,因为人们在其他法门中寻求的脱离自我,正是大圆满法门的修行方式。所以,


若说大圆满法门有一个目标,那么这个目标就是对“脱离自我的存在方式”渐渐熟悉起来。


依我看,师徒间的智慧传递根本没有任何超自然意味,也毫不神秘。
在我学习过的大圆满大师中,教导质量参差不齐。我曾拜谒过数位当世最受尊崇的藏族喇嘛,他们表面上在讲授大圆满法,然而实则只描述了在这种意识下看待世界是怎样的,却没有清楚地指导如何得到这种视角。祖古乌金的天才之处就在于,他能像教人穿针引线一般精确而切合实际地指出心智的本质,能让天资一般的我辈修行者也认识到,


哦,意识的确本质上是脱离自我的。


各位弟子开始或许有不同程度的挣扎与怀疑,但一旦瞥到了一次不二论的真相,那么就能明白如何千千万万次瞥到它,心中不会再有怀疑。我怀着寻求超越自我的心态前来拜访祖古乌金,然而他只花了几分钟就让我明白,根本没有什么自我可以去超越的。(译者注:这么快就开悟了,菩提本无树,明镜亦非台。) 1529382017141aff79d98eb 图源:MINDFULNESS 依我看,师徒间的智慧传递根本没有任何超自然意味,也毫不神秘。祖古乌金对我的巨大影响纯粹出于他清晰的教导方法。就像任何其他艰难的学习过程一样,专家有时用错误信息误导了你,有时把你朝着大概方向轻轻推,有时却能够精确地引导你如何前进,这里面的差别怎么夸张都不过分。


在大多数灵修圈子里,尤其是佛教圈子里,宣扬自己的修行方法会被视作极其失礼。


然而,我认为这种禁忌有很大的代价,因为它让人们对如何修行糊糊涂涂而安于现状。所以,接下来,我会用平实的语言介绍自己的经验。 在遇到祖古乌金之前,我在隐修中至少练习了一年内观。不能说我完全没有体验到自我的超越感。我仍能回想起,


有那么些片刻,观察者和被观察者的界限似乎消失了,但我把这看作是精神极度集中导致的。


因此,我认为这些体验在日常生活中不可复现。但与祖古乌金见面几分钟后,他就教会我如何直接洞穿自我的幻象,让我在日常意识状态中也能做到这点。


这条指导就是:



不要质疑



(without question)。这是我人生中别人教给我的最重要的事。


(译者注:谈谈我的一点理解。笛卡尔说,我思故我在。也就是说,如果我试图质疑这个“思考的我”的真实性,那么“质疑”这个行为本身成为思考的一部分,从而证明了“思考的我”的存在。但假如你不质疑,“我”是不是就不存在了呢?) 这条教导给我指出了一条明路,让我得以逃离种种心理上的痛楚——恐惧、愤怒、羞耻等等,得到片刻安息。以我的修行水平,这种自由只能持续一小会儿。但这些片刻却能够一再重复,维持时间也会渐渐增加。日常生活就被这样的片刻切割成一段段,让生活的面貌变得完全不同。事实上,


我一旦用心,就完全不能体验到自我:隐藏的认知和情感中心退潮了,意识明明白白地不再被觉察到的一切所束缚。意识到伤心,却不伤心。意识到恐惧,却不恐惧。


然而,我沉浸在思绪(走神)里的时候,就跟平常人一样困惑。 我对世界的感知发生了如此变化,这让我得以理解,为何传统灵性修行拥有巨大的吸引力。


我也认识到,以信仰为基础的宗教教条无可避免地会带来困惑和伤害,而这其实对于灵性来说是毫无必要的。


我为了学习大圆满法,不必相信任何关于宇宙的不理性说法,也不必相信自己在大千世界中所居何处。我不必接受藏传佛教关于业报和轮回的信仰,也不会幻想祖古乌金和其他导师具有超自然的力量。无论传统的宗教师徒关系存在何种阻碍,我的亲身经历告诉我,你还是能找到一名传授真知的好老师。


关于作者:


山姆·哈里斯(Sam Harris),美国著名作家、哲学家、神经科学家和无神论者/反神论者。被称为新无神论的四骑士之一【另外三位分别是哲学家、认知科学家丹尼尔·丹尼特(Daniel Dennett)、演化生物学家理查德·道金斯(Richard Dawkins)和无神论者克里斯托弗·希钦斯(Christopher Hitchens,已故)】。


往期文章:


1529382018734a3fe43d3cc 15293820189084feaa4e6ad 1529382019090aa3c8a7903 15289670609886e45ac5885


“利维坦”(微信号



liweitan2014



),神经基础研究、脑科学、哲学……乱七八糟的什么都有。反清新,反心灵鸡汤,反一般二逼文艺,反基础,反本质。



投稿邮箱:



wumiaotrends@163.com



合作联系:微信号 liweitan2018



一家过去时的书店



长按上图二维码,或点击“阅读原文”进店



主题推广




回复

使用道具 举报

您需要登录后才可以回帖 登录 | 立即注册

本版积分规则

快速回复 返回顶部 返回列表